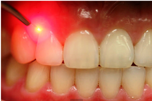
Laser dentistry uses advanced laser technology to treat both hard and soft tissues with greater precision and comfort. Laser procedures often result in:
Lasers are most commonly used for soft tissue (gum) procedures. Frequently used dental lasers include diode, carbon dioxide (CO₂), and Nd:YAG lasers.
Common Laser Procedures
Gum contouring and reshaping for aesthetic enhancement
Creating a gingival trough for better visibility during restorative procedures
Removal of excess gum tissue
Release of tight muscle attachments
Treatment of oral ulcers and cold sores
Laser periodontal (gum) therapy to remove infected tissue and promote healthy regeneration
Additional Applications
Laser dentistry offers a minimally invasive, comfortable, and efficient alternative to many conventional dental procedures.